• Patienteninfo
    • Zahnersatz im Überblick
      • Füllung, Inlays
        • Amalgamfüllung
        • Compositefüllung
        • Inlay Composite
        • Inlay Gold
        • Inlay Keramik
        • Onlay Keramik
      • Facette/Veneer
      • Kronen
        • Composite
        • Gold
        • Gold, keramisch verblendet
        • Gold, keramisch verblendet mit Schulter
        • Vollkeramik
      • Brücken
        • Gold
        • Gold, keramisch verblendet
        • Vollkeramik
        • Inlaybrücke mit Geschiebe
      • Kombiniert fester/abnehmbarer Zahnersatz
        • Kronen, keramikverblendet mit individuellen Verbindungselementen
        • Kronen, keramikverblendet mit konfektionierten Verbindungselementen
        • Frontzahnbrücke, keramikverblendet mit einfachen Geschieben ohne Unterzungenbügel
        • Teleskopkronen- Prothese
        • Teleskopkronen mit Modellgussprothese
        • Riegelverankerung
        • Teleskopkronen- Prothese m. Riegelverankerung, ohne Unterzungenbügel
        • Teleskopkronen- Prothese m. Riegelverankerung, gaumenfrei
        • Klammerprothese
        • Modellguss- Prothese mit Klammern
        • Modellguss- Prothese mit Klammern mit Unterzungenbügel
        • Modellguss, Tübinger Schiene
        • Galvanoteleskope ohne Transversalbügel
        • Keramik/Galvanoteleskope ohne Transveralbügel (GPTec- Prothese)
        • Abnehmbare Brücke auf Teleskopen
      • Voll-/Totalprothese
        • Vollprothese, individuell
        • Vollprothese mit Metallbasis
        • Vollprothese mit Gitterbasis
        • Vollprothese aus Sonderkunststoff
      • Deckprothesen/Coverdenture
        • Deckprothesen/Coverdenture auf Teleskopkronen
        • Deckprothesen/Coverdenture Kugelknopfverankerung
        • Deckprothesen/Coverdenture auf Stegen
      • Implantate
        • Implantat- Einzelzahn
        • Implantate zur Pfeilervermehrung
        • Implantate für Deckprothesen/Coverdenture
        • Teleskopkronen auf Implantaten
        • Deckprothesen/Coverdenture mit Teleskopkronen auf Implantaten
      • Sondertechniken/-behandlungen
        • Funktionsdiagnose
        • Sport- Mundschutz
    • Pflegetipps
      • Kronen, Brücken, Inlays, Implantate
      • Kombiniert fester/abnehmbarer Zahnersatz
      • Galvano- und Teleskopzahnersatz, GPTec
      • Totalprothesen
      • Klammerprothesen
  • Zahnarztinfo
    • Produkte
      • z_max Keramikverblendete Zirkonkrone-/brücke für höchste Ansprüche
      • z_pro Keramikverblendete Zirkonkrone-/brücke mit gehobener Ausstattung für optimale Ergebnisse
      • z_eco Keramikverblendete Zirkonkrone-/brücke mit reduzierter Ausstattung für eine preiswerte Versorgung
      • z_lite³ color Monolithische Zirkonkrone-/brücke mit 3-D-Farbinfiltration
      • z-lite³ Krone, Brücke aus transluzentem Zirkoniumdioxid, voreingefärbt
      • e.max Vollkeramikkronen
      • Thermoelastische Schienen
      • Prepräp, das Eierschalenprovisorium, Herstellung vor Präparation
      • Best 2in1 Implantatstegkonzept
      • GPTec, Weigl-Konzept
      • Profix-Provisorien
      • Veneers
      • Anschauungsmodell
      • Gnathocaps und Tabletops
      • Digitele 2.0 aus NEM, mit Friktion und preiswert!
      • Proviflex-Klammern für Profis
      • Vollkerasmik-Marylandbrücken
      • individuelle Abutments
      • Codiagnostix, 3-D-Bohrschablone jetzt auch ohne Röntgenschablone
      • Selective Laser Melting NEM-Gerüste
    • Seminare
    • Statements
    • Terminplan
    • CAD / CAM
      • Modell Scan
      • Intraoral Scan
      • Konstruktion
      • Nesting
      • Material
      • T1 Fertigung
      • SLM Fertigung
      • Ergebnis
    • Praxisbedarf
      • Anschauungsmodell
  • KFO Info
    • KFO und Schienen
  • Labor Info
    • Service für Kollegen
    • CAD / CAM
  • Jobs
    • Stellenangebote
  • Service
    • Downloads und e-Mail-Anforderungen
    • Screensharing 3-D-Planung Direktlogin
    • TeamViewer
    • Registrierung Uploadportal
    • Login Uploadportal
    • Uploadportal
  • Gallery
  • Kontakt

Produkte

  • z_max Keramikverblendete Zirkonkrone-/brücke für höchste Ansprüche
  • z_pro Keramikverblendete Zirkonkrone-/brücke mit gehobener Ausstattung für optimale Ergebnisse
  • z_eco Keramikverblendete Zirkonkrone-/brücke mit reduzierter Ausstattung für eine preiswerte Versorgung
  • z_lite³ color Monolithische Zirkonkrone-/brücke mit 3-D-Farbinfiltration
  • z-lite³ Krone, Brücke aus transluzentem Zirkoniumdioxid, voreingefärbt
  • e.max Vollkeramikkronen
  • Thermoelastische Schienen
  • Prepräp, das Eierschalenprovisorium, Herstellung vor Präparation
  • Best 2in1 Implantatstegkonzept
  • GPTec, Weigl-Konzept
  • Profix-Provisorien
  • Veneers
  • Anschauungsmodell
  • Gnathocaps und Tabletops
  • Digitele 2.0 aus NEM, mit Friktion und preiswert!
  • Proviflex-Klammern für Profis
  • Vollkerasmik-Marylandbrücken
  • individuelle Abutments
  • Codiagnostix, 3-D-Bohrschablone jetzt auch ohne Röntgenschablone
  • Selective Laser Melting NEM-Gerüste

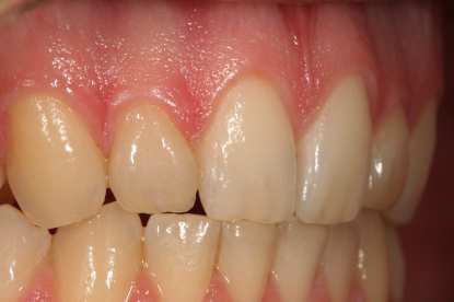
Veneers

… Ästhetik pur

 

 

 

 

 

 

  • individuell
  • verträglich
  • ästhetisch
  • geringe Wärmeleitfähigkeit
  • röntgenopak
  • handwerkliche Herstellung
  • Sintertechnik
  • multichrome 3-D-Farbschichtung
  • für adhäsive Befestigung

 

 

 

 

 

 

 

 

 

 

 
  • Impressum
  • Datenschutz
  • Links

© 2026 Boger Zahntechnik